I'm having surgery done ON MY ANKLE

Fade

The Beat Strangler
Administrator
illest o.g.
What ever happened to ILL 4 LIFE?

Just because your life will be gone, doesn't mean that everyone else one here should have their "Ill For Life" title taken away from them (even though I'm not one).
I'm being sarcastic.
damm fade hope all go's good fam!! we all here at ill muzik got ya ya back!! we family no matter what!!
even if sometimes we argue amongts each other but hey dats what family do sometimes!!
hope all go's good!!
Thanks!
 

Fade

The Beat Strangler
Administrator
illest o.g.
I'm alive! Ankle hurts a bit, sometimes it stings a bit more but overall it's cool. I can walk on it a bit but not entirely, I have to use crutches for the next few days. It's nice though, they gave me the screws! Any ideas on what I should do with them? Ankle Screw Chain around my neck?

Anyway, ILL is still here, whew that was a close one. I have to go on Tuesday for a follow up, so that's when I'm gonna try and get all the xrays!

Thanks to everyone for their kind words. :d:
 

Fade

The Beat Strangler
Administrator
illest o.g.
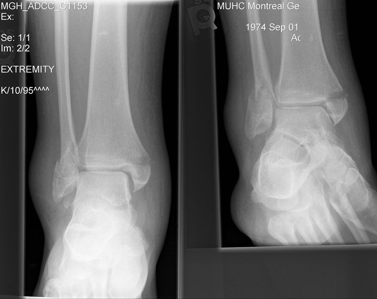
Pics!

This is the break (both sides):
0010003.jpg

Here's the screws:
004.jpg

Notice where the big screws are, how one of them is sticking out a lot - that's what was hurting like a BITCH. Anyway, those 2 big screws are gone! Sweet, huh?

The moral of this story - don't fall on ice!
 

Fury

W.W.F.D
ill o.g.
Pics!

This is the break (both sides):
View attachment 2554

Here's the screws:
View attachment 2555

Notice where the big screws are, how one of them is sticking out a lot - that's what was hurting like a BITCH. Anyway, those 2 big screws are gone! Sweet, huh?

The moral of this story - don't fall on ice!

leave it for a Canadian to break there ankle slipping on ice
 

Fury

W.W.F.D
ill o.g.

Fury

W.W.F.D
ill o.g.
Top